Spondylolisthesis (Wirbelgleiten)
Ein Wirbelgleiten kann unterschiedliche Ursachen haben. Einerseits kann eine Spondylolisthesis angeboren sein (L5/S1), andererseits aber auch im Laufe des Lebens erworben sein (L4/5 und höher), insbesondere durch einen Verschleiß der Bandscheiben mit daraus resultierender Segmentlockerung und Instabilität (degenerative Veränderungen).
Es besteht eine Instabilität zwischen zwei Wirbelkörper (Segmenten), sodass meistens häufig der obere Wirbelkörper gegenüber dem unteren nach vorne gleitet.
Meist ist das Wirbelgleiten nur ein Zufallsbefund, der keine Beschwerden bereitet. Wird ein Wirbelgleiten jedoch symptomatisch, so entstehen häufig unspezifische Beschwerden im Bereich der Lendenwirbelsäule mit und ohne Schmerzausstrahlung in die Beine.
In sehr seltenen Fällen kann es zu einer Beeinträchtigung von Nerven bis hin zu Lähmungen kommen.

Diagnostik
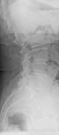
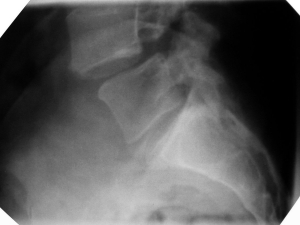
Wegweisend ist neben der klinischen Untersuchung die konventionelle Röntgenaufnahme der Lendenwirbelsäule in zwei Ebenen. Hier erkennt man einen Versatz zwischen den Wirbelkörpern. Eingeteilt wird die Spondylolisthesis in Grade nach Meyerding.
• Meyerding I°: Versatz der Wirbelkörper zueinander um weniger als 25 % der Wirbelkörpertiefe,
• Meyerding II°: Versatz um 25–50 %,
• Meyerding III°: Versatz um 50–75 %,
• Meyerding IV°: Versatz um mehr als 75 %.
• Spondyloptose: vollständig von vorne abgerutschter Wirbel

Therapie
In der überwiegenden Anzahl der Fälle ist eine konservative Therapie indiziert. Über konservative Therapiemöglichkeiten im Rahmen der minimalinvasiven Therapie können Sie sich informieren.
Nur in seltenen Fällen, mit ausgeprägter Instabilität und Gleiten sowie Wirbelsäule und entsprechenden klinischen Beschwerden ist eine operative Therapie indiziert.
Im Rahmen einer Versteifung der Wirbelsäule wird diese aufgerichtet und ein Bandscheibenersatz wird eingebracht. Die Wirbelkörper werden mit Pedikelschrauben und Stäben miteinander verbunden. Somit ist die Wirbelsäule stabilisiert und ein weiteres Abgleiten der Wirbelkörper wird verhindert.
Nachbehandlung
Nach der Operation sind Sie noch ca.7-10 Tage in unserem Haus stationär. Unsere Physiotherapeuten mobilisieren Sie, bis Sie ihre Selbstständigkeit wiedererlangt haben. Gegebenenfalls erhalten Sie ein Lumbalmieder zur Mobilisation.
Unsere Experten
Wirbelsäule & Schmerztherapie

Sektionsleiter der Wirbelsäulenmedizin
Dr. med.
M. Sarfraz Baloch
