Metatarsalgie

Metatarsalgie ist ein Oberbegriff für Beschwerden des Vorfußes und der Mittelfußköpfe 2-5. Er beschreibt kein konkretes Krankheitsbild sondern einen Symptomkomplex, welcher unterschiedliche Ursachen haben kann.

Ursachen

Es gibt zahlreiche Ursachen für die Entstehung einer Metatarsalgie. Diese können mechanischen Ursprungs sein und mit einer Überlastung der Mittelfußköpfe einhergehen. Eine Überlastung der Mittelfußköpfe findet sich bei angeborenen Fehlbildungen des Fußes, im Rahmen eines Spreizfußes bei Hallux valgus (Transfermetatarsalgie), bei übermäßiger Verlängerung oder Verkürzung (Brachymetatarsie) der Mittelfußknochen oder einer Instabilität des ersten Strahls. Weitere Ursachen für eine Metatarsalgie können zum Beispiel Neurome (M. Neurom, Wucherungen der Nervenfasern), Stressfrakturen, Kapselschwellungen im Rahmen einer Arthritis, aseptische Nekrosen (Morbus Köhler II) oder Infekte sein.

Ursachen der Metatarsalgie

  •  Überlastung
  •  Spreizfuß mit Hallux valgus
  •  "Überlänge" eines Mittelfußknochens
  •  Verkürzung eines Mittelfußknochens (Brachymetatarsie)
  •  Neurome, z.B. Morton Neurom
  •  Stressfrakturen
  •  Kapselschwellungen
  •  Arthrose
  • M. Köhler II
  • Infekte
  • u.a.

Klinik

Häufig klagen Betroffene über Schmerzen der fußsohlenseitigen (plantaren) Mittelfußknochen. Abhängig von der Ursache können die Schmerzen eine unterschiedliche Schmerzqualität, z.B. stechend oder dumpf, haben. Bei der klassisch-mechanisch bedingten Metatarsalgie liegt ein dumpfer, tiefer Schmerz vor, welcher bei Belastung zunimmt. Neurome andererseits verursachen eher Brennen und Sensibilitätsstörungen und lassen sich daher klinisch gut differenzieren. Das Beschwerdebild ist letztendlich von der Ursache der Metatarsalgie abhängig.

Symptome der Metatarsalgie

  • Belastungsschmerzen und Schwellung unter dem Mittelfußkopf
  • Schwiele unter dem Mittelfußkopf
  • Brennen oder Sensibilitätsstörungen (bei Neuromen)
  • Eingeschränkte Mobilität

Diagnose

Die Anamnese, d.h. Befragung des Patienten über Schmerzlokalisation, Schmerzqualität und Intensität kann wertvolle Hinweise bei der Differenzierung der Ursachen der Metatarsalgie liefern. Informationen über die Schmerzausbreitung, Ruhe- oder Belastungsschmerz, Verstärkung durch sportliche Belastung oder beobachtete Veränderung der Fußstellung können wegweisende Informationen darstellen. Die genaue Untersuchung des gesamten Fußes kann zu einer weiteren Eingrenzung bei der Diagnosefindung beitragen.

Bildgebende Diagnostik

Mithilfe von Röntgenaufnahmen lassen sich knöcherne Veränderungen gut darstellen. Bei Verdacht auf weichteilige Pathologien kann eine MRT Untersuchung zielführend sein. Die Pedobarographie (Fuß-Druckmessung) zeigt auf, wie die Druckverteilung des Fußes ist und ob ein pathologisches Verteilungsmuster vorliegt.

Brachmetatarsie = Verkürzung eines Mittelfußstrahls kann zu einer Metatarsalgie führen

Therapie

Die Therapie einer Metatarsalgie, insbesondere einer mechanisch bedingten, ist primär konservativ.

Konservative Therapie

Häufig lässt sich eine Metatarsalgie durch eine entsprechende Einlagenversorgung und Anpassung des Schuhwerks oder eine Schuhzurichtung behandeln. Zur Entlastung der Mittelfußköpfe kann beispielsweise eine langsohlige Einlage mit Aussparung und Weichbettung angefertigt werden. Auch die Zurichtung der Schuhsohle im Sinne einer sog. Schmetterlingssohle kann zu einer Entlastung der Mittelfußköpfe führen. Liegen andere Ursachen für die Metatarsalgie vor, sollten diese gezielt therapiert werden.

Zu den konservativen Therapieansätzen gehören u.a.:

  • Einlagenversorgung
  • Schuhmodifikation mit Abrollhilfe
  • Entlastung

Operative Therapie

Wann, ob und wie eine Metatarsalgie operativ behandelt wird hängt von den vorliegenden Ursachen ab. Bei einer Transfermetatarsalgie (Schmerzen bei Spreizfuß und Hallux valgus Fehlstellung) ist die Korrektur des 1. Strahles oftmals auch mit einer Beschwerdelinderung des Mittelfußkopfes verbunden. Bei frustraner konservativer Therapie eines Morton Neuroms ist die Resektion des Neuroms zu erwögen. Die angeborene Verkürzung eines Mittelfußknochens (Brachymetatarsie) kann durch eine Verlängerung behandelt werde. Bei  mechanischer Überlastung eines Mittelfußkopfes trotz optimierter konservativer Therapie, kann eine offene oder minimalinvasiv-perkutane Verkürzungsosteotomie sinnvoll sein. Die Indikation und Wahl des erforderlichen operativen Vorgehens ist komplex und sollte zusammen mit einem erfahrenen Fußspezialisten erfolgen.

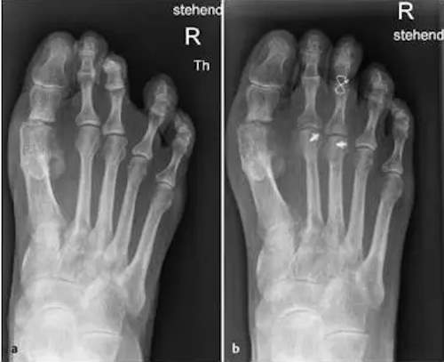
Komplexe Vorfußkorrektur bei Metatarsalgie II und III: Verkürzende Osteotomie der Mittelfußknochen II und III durch eine Weil Osteotomie

Ihr Experte

Fuß- und Sprunggelenkchirurgie

Klinikdirektor Priv.-Doz. Dr. med. Dariusch  Arbab
Klinikdirektor

Priv.-Doz. Dr. med.
Dariusch Arbab