Kleinezehe: Hammerzehn, Krallenzehen Und Klauenzehen

Fehlstellung der Kleinzehen können isoliert, häufiger aber im Rahmen anderer Fußdeformitäten, auftreten. Die Störung der stabilisierenden Strukturen des Grundgelenkes führt zu einer Veränderung der Biomechanik und zur Ausbildung unterschiedlicher Kleinzehenfehlstellungen. Am häufigsten betroffen ist die 2. Zehe, jedoch können auch alle anderen Kleinzehen entsprechende Fehlstellungen aufweisen. Betroffen sind vor allem Frauen in einem Verhältnis 4:1 mit einem Häufigkeitsgipfel zwischen dem 60. und 70. Lebensjahr.

 

Ursachen

Die Ursachen für die Entstehung von Kleinzehenfehlstellungen sind vielfältig. Die häufigste Ursache ist eine Spreizfuß Deformität und Veränderungen des 1. Strahles mit Hallux valgus Fehlstellung. Das Tragen von entsprechendem Schuhwerk mit hohen Absätzen und eine Enge im Vorfußbereich begünstigen eine Valgisierung der Großzehe (Hallux valgus) und führen zu einer Verdrängung der Kleinzehen. Die Überlänge des 2. Strahles, wie sie bei der sog. „griechischen Fußform“ vorliegt, unterstützt eine Fehlstellung und damit die Ausbildung einer dauerhaften Deformität. Neben diesen erworbenen Ursachen können auch angeborene Erkrankungen zu einer Fehlstellung führen. Auch das Vorliegen eines Knick-Senkfußes oder Hohlfußes begünstigt die Ausbildung von Vorfußfehlstellung. Der Digitus quintus varus (s.u.) ist oftmals angeboren und bereits im frühen Kindesalter zu erkennen. Er betrifft häufig junge Mädchen.

Ursachen von Kleinzehendeformitäten

  • Spreizfuß mit Hallux valgus
  • Überlänge der betroffenen Zehe
  • falsches Schuhwerk (high-heels)
  • angeboren

Klinik

Die betroffenen Patienten klagen, abhängig von der Lokalisation und Ausprägung der Fehlstellung, über geringe bis starke, immobilisierende Beschwerden. Häufig liegen Pathologien des 1. Strahles, z.B. ein Hallux valgus oder eine Rückfuß Fehlstellung vor, die ebenfalls Beschwerden verursachen. Die Lokalisation der Beschwerden ist abhängig von der Fehlstellung. Folgende Kleinzehen Fehlstellungen können u.a. unterschieden werden:

  • Hammerzehe
  • Krallen-oder Klauenzehe
  • Endgelenk Hammerzehe
  • Digitus quintus varus

Klinische Beispiele für Fehlstellungen der Kleinzehe. a Krallen- oder Klauenzehenfehlstellung der Zehen II–IV bei Hallux-valgus-Deformität. b Crossover-Toe-Fehlstellung der II. Zehe bei Ruptur der plantaren Platte und valgischer Deformität der Großzehe. c Splay Toes der Zehen III und IV bei intermetatarsaler Enge. d Digitus quintus varus et superductus

Symptome von Kleinzehendeformitäten

  • Schmerzen und Schwellung der betroffenen Zehe(n)
  • Schuhkonflikt
  • Druckstellen

Diagnose

Die Diagnose erfolgt klinisch. Durch eine Untersuchung und die Inspektion des Fußes kann der Fußspezialist die Fehlstellung der Zehe diagnostizieren. Dabei wird die Achsabweichung in den einzelnen Zehengelenken aber auch der Funktionsstatus der einzelnen Gelenke bestimmt. Dieses ist wichtig für die optimale Therapiewahl.

Bildgebende Diagnostik

Die bildgebende Diagnostik (Röntgen) spielt bei der Diagnose von Kleinzehenfehlstellung eine untergeordnete Rolle. Durch die klinische Untersuchung lässt sich eine Diagnose bereits sichern. Die bildgebende Diagnostik ist jedoch für die operative Therapieplanung sinnvoll.

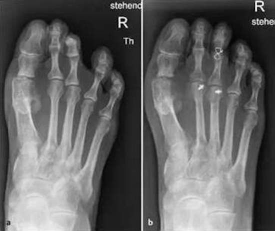
a) Beugefehlstellung des PIP III Gelenks bei Extensionsfehlstellung im MTP II und III Gelenk b) Postoperatives Röntgenbild nach Weil Osteotomie II/III und PIP III Arthrodese

Therapie

Die Therapie von Kleinzehen Fehlstellungen ist abhängig vom Ausmaß und der Lokalisation der Fehlstellung als auch vom Leidensdruck  des Betroffenen.

Konservative Therapie

Die konservative Therapie soll Beschwerden lindern und die Mobilität als auch die Lebensqualität des Patienten erhalten oder verbessern.

  • Schuhwahl: Die Auswahl und Anpassung des Schuhwerks an die entsprechende Fußform kann bereits zu einer deutlichen Beschwerdelinderung führen. Die Schuhe sollten im Vorfußbereich eine ausreichende Breite und weiches Oberlider aufweisen. Bei Bedarf kann eine Weitung des Oberlides durchgeführt werden, um z.B. ein Anstoßen der Zehe zu verhindern.
  • Einlagenversorgung: Eine optimierte Einlagenversorgung kann zu einer Verbesserung der Stellung der Zehen führen. Ebenfalls kann eine Weichbettung und Aussparung im Bereich schmerzhafter Anteile zu Beschwerdelinderung beitragen.
  • Physiotherapie und Fußpflege: Mobilisierende, kräftigende und koordinative Übungen der Zehen können unter physiotherapietherapeutischer Anleitung erlernt und dann eigenständig durchgeführt werden.  Bei Schwielenbildung und der Gefahr von offenen Druckstellen (Ulcera) ist insbesondere bei Pat. mit Diabetes mellitus eine regelmäßige und professionelle Fußpflege zu empfehlen.
  • Orthesen: Polsternde Druckschutzorthesen aus Schaumstoff oder Silikon können die Ausbildung von Druckstellen verhindern oder verzögern.

Operative Therapie

Eine operative Therapie von Kleinzehen Fehlstellungen sollte geprüft werden, wenn die o.g. konservativen Maßnahmen zu keinem entsprechenden Therapieerfolg geführt haben. Bei fortgeschrittenen Deformitäten und ausgeprägter Klinik ist ein operatives Vorgehen frühzeitig zu erwägen.

Das Therapieziel einer operativen Behandlung ist eine dauerhafte Schmerzreduktion und achsgerechter Einstellung der Kleinzehe. Für die operative Korrektur von Kleinzehenfehlstellung stehen eine Vielzahl von Operationstechniken zur Verfügung. Die Wahl des Operationsverfahrens ist abhängig vom klinischen und radiologischen Befund. Neben den Therapiealgorithmen, die als Grundlage für das Vorgehen dienen können, müssen allgemeine Faktoren, wie das Alter, der Aktivitätsanspruch, Begleiterkrankungen und der Patientenwunsch als individuelle Komponente berücksichtigt werden.

Für die Behandlung von Kleinzehenfehlstellung wird regelhaft kombinierte knöcherne und weichteilige Eingriffe durchgeführt. Die Behandlung der Krallen-oder Klauenzehe ist im vorliegenden Algorithmus exemplarisch dargestellt. Die Durchführung kann in offener oder auch minimalinvasiv- perkutaner Technik erfolgen.

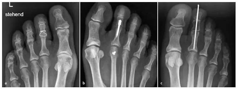
Beispiele für verschiedenartige Osteosynthese Techniken der PIP Arthrodese:

a) Cerclage-Draht b) intramedullärer Kraftträger c) K-Draht
Mininmalinvasive Operation der 5. Zehe

Ihr Experte

Fuß- und Sprunggelenkchirurgie

Klinikdirektor Priv.-Doz. Dr. med. Dariusch  Arbab
Klinikdirektor

Priv.-Doz. Dr. med.
Dariusch Arbab