Hallux valgus
Die Hallux valgus (HV) Deformität ist eine Fehlstellung des Vorfußes, bei der eine Achsabweichung der Großzehe nach lateral (Fußaußenrand) und des Mittelfußknochens-I nach medial (Fußinnenrand) vorliegt. Zusätzlich kann es zu einer Rotationsfehlstellung der Großzehe und eine Verdrängung der Nachbarzehen kommen. Die auch als Ballenfuß bezeichnete Fehlstellung ist die häufigste Deformität des Fußes. Ihre Auftreten wird bei den über 65-jährigen mit bis zu 35 % angegeben (Nix et al.)
Ursachen
Auch wenn die Ursachen des HV nicht abschließend geklärt sind, scheinen
- unsachgemäßes Schuhwerk (hohe Absätze, enges Schuhwerk)
- das weibliche Geschlecht
- familiäre Disposition (erblich)
- Vorliegen von Begleitpathologien (z.B. Knick Senkfuß = Pes planovalgus, rheumatoide Arthritis, u.a.)
mitzuwirken. Zunehmendes Alter begünstigt die Entstehung eines HV, aber auch Kinder und sehr junge Patienten können betroffen sein. Frauen klagen 5mal häufiger an einem HV. Der HV kann einseitig oder auch beidseitig auftreten und ist häufig mit Fehlstellungen und Beschwerden im Bereich der Mittelfußköpfe II-IV (Metatarsalgie) oder einer Fehlstellung der Nachbarzehen (Hammer- oder Krallenzehe) vergesellschaftet.
Das Tragen von Schuhen mit hohen Absätzen scheint die Ausbildung eines Hallux valgus zu begünstigen

Pathogenese
- Die Pathogenese des HV ist komplex. Die knöchernen Fehlstellungen werden durch eine Dysbalance der Fußmuskeln verursacht.
- Das Ungleichgewicht zwischen medial und lateral stabilisierenden weichteiligen Strukturen des Großzehengrundgelenkes kann das Fortschreiten der Fehlstellung im Sinne eines Circulus vitiosus begünstigen.
- Es handelt sich am ehesten um eine multifaktorielle Genese.
Klinik
Viele Patienten mit HV Deformität klagen in milden und moderaten Stadien über keine oder nur geringe Beschwerden. Beschwerden bestehen insbesondere im Bereich des medialen Ballens. Dieser führt zu einem Druckschmerz des Metatarsale-I Kopfes im Schuhwerk. Dort kann es bei länger anhaltendem Druck zu Rötungen und Schwellungen im Bereich der Bursa (Schleimbeutel) kommen.
Die Valgusstellung der Großzehe kann zu einer Verdrängung der benachbarten Zehen führen. Das Ausweichen der Kleinzehen geht häufig mit der Ausbildung einer Hammerzehe oder Krallenzehe einher.
Die Abweichung des Mittelfußknochens-I nach medial führt zu der Ausbildung eines sogenannten Spreizfußes. Neben der optischen Verbreiterung des Vorfußes verursacht dieses eine Verlagerung des Drucks vom ersten Strahl auf die Mittelfußköpfe II-IV. Dieses kann zu Schmerzen führen und wird dann als Transfermetatarsalgie bezeichnet.
Hallux valgus mit Verdrängung der 2. Zehe
Symptome des Hallux valgus
- Anstoßen des „Ballens“ im Schuh
- Bursitis (Schleimbeutelentzündung)
- Metatarsalgie (Mittelfußschmerz) durch Überlastung
- Zehenfehlstellung (Krallenzehe, Hammerzehe)
Diagnose
Die Diagnose des HV ist eine klinische Diagnose. Die Untersuchung gibt Hinweise über die Flexibilität oder Rigidität der Deformität. Der Fußspezialist untersucht die Beweglichkeit der einzelnen Gelenke. Er beurteilt die Befestigung des ersten Mittelfußknochens an der Fußwurzel. Eine Instabilität in dem sogenannten tarsometatarsal (TMT) Gelenk I ist für die weitere Festlegung der Therapie von entscheidender Bedeutung. Die Beurteilung der Vorfußfehlstellung beinhaltet immer auch eine Untersuchung des Rückfußes, um mögliche Begleitdeformitäten auszuschließen.
Bildgebende Diagnostik
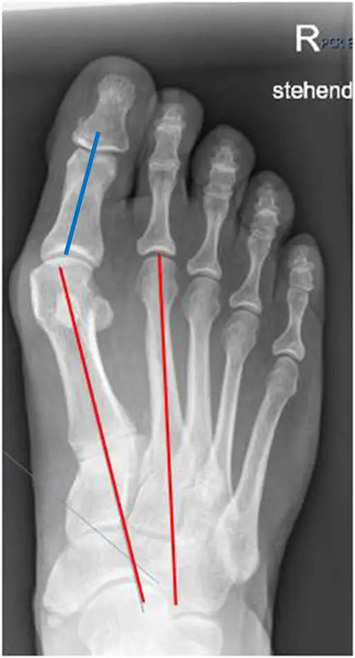
Die bildgebende Diagnostik umfasst ein Röntgenbild im dorso-plantaren Strahlengang des belasteten Fußes. Auf der dorso-plantaren belasteten Aufnahme können der Winkel zwischen dem Metatarsale I und II (Intermetatarsal Winkel) und der Winkel zwischen Metatarsale und Großzehe (HV Winkel) bestimmt werden. Zudem können die Kongruenz des Großzehengrundgelenkes bzw. die Stellung der Sesambeine beurteilt werden. Weitere Aufnahmen sind in der Regel nicht erforderlich. Schrägaufnahmen oder schnittbildgebende Verfahren wie eine MRT oder CT Untersuchung bleiben besonderen Fragestellungen vorbehalten.
Röntgenbild Fuß rechts, d.p. Strahlengang im Stand: rot-rot: Intermetatarsal Winkel, rot-blau: HV Winkel

Therapie
Die Therapie von Patienten mit HV Deformität hängt von zahlreichen Faktoren ab und ist immer eine individuelle Entscheidung die durch einen Fußspezialistenerfolgen sollte. Neben der Ausprägung der Fehlstellung sind vor allem Beschwerden und Beeinträchtigungen zu berücksichtigen. Bei einigen Patienten sind bereits milde und moderate Fehlstellungen mit Schmerzen und Beeinträchtigungen vergesellschaftet. In anderen Fällen verursachen auch ausgeprägte Vorfußpathologien keinen Behandlungsbedarf.
Konservative Therapie
Die konservative Therapie des HV soll das Fortschreiten der Fehlstellung verlangsamen oder aufhalten. Eine vollständige Korrektur der Stellung der Großzehe lässt sich in den meisten Fällen am ausgewachsenen Skelett dauerhaft nicht erzielen. Für die symptomatische Behandlung stehen jedoch eine Vielzahl von Therapieoptionen zu Verfügung. In anfänglichen Stadien mit nur geringer Fehlstellung kann eine Aktivierung und Kräftigung der kleinen und großen Muskeln an Fuß und Sprunggelenk sinnvoll sein. Sie sollen aktiv ein Fortschreiten der Fehlstellung verhindern. Übungen umfassen beispielsweise das aktive Abspreizen der Zehen, das Greifen von Gegenständen mit den Zehen als auch das Barfußlaufen. Dieses kann in eigener Regie zu Hause durchgeführt oder bei Bedarf durch einen Physiotherapeuten unterstützt und kontrolliert werden. Neben dieser aktiven Therapie sollten betroffene Patienten ihr Schuhwerk anpassen. Dabei ist eine ausreichende Weite im Bereich des Vorfußes (Vorderkappe) zu berücksichtigen. Hilfsmittel und Orthesen können bei fortgeschrittenen Fehlstellungen zum Einsatz kommen. Zwischenzehenkeile aus Silikon sollen die Zehe passiv in einer Korrekturstellung halten und ein weiteres Abweichen verhindern. Diese können tagsüber im Schuh getragen und nachts in Form einer HV Schiene verwendet werden. Bei Vorliegen weiterer Fußfehlformen (z.B. Knicksenkfuß) kann eine Einlagenversorgung durchgeführt werden. Diese soll eine Verbesserung der Fußwölbung erzielen und eine Entlastung der kleinen Fußmuskulatur. Auch das Vorliegen einer Transfermetatarsalgie kann durch eine entsprechende Einlage (langsohlig, Weichbettung und Aussparung) zu einer Beschwerdelinderung beitragen.
Konservative Therapie:
- Fuß- und Zehengymnastik
- Anpassung Schuhwerk (geringer Absatz, breite Vorderkappe, spezielle HV Schuhe)
- Schuhzurichtung
- Einlagenversorgung (retrokapitale Abstützung, Ballenrolle)
- Orthesen (HV Schiene, Zehnenspreizer, Zehenpolster
Operative Therapie
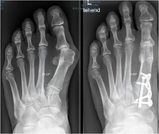
Eine operative Therapie des HV ist indiziert, wenn konservative Maßnahmen zu keiner ausreichenden Verbesserung der Beschwerden oder Beeinträchtigungen führen. Auch sollte bei einer deutlichen Progredienz der Fehlstellung mit einer Verdrängung der Kleinzehen ein operatives Vorgehen erwogen werden. Das Ziel der operativen Therapie der HV Deformität besteht in einer (möglichst vollständigen) Achskorrektur und Beschwerdelinderung.
Rein kosmetische Eingriffe ohne das Vorliegen entsprechender Beeinträchtigung erscheinen nicht sinnvoll. Die operative Behandlung des HV ist sehr individuell und richtet sich v.a. nach dem Schweregrad, dem Anspruch und dem Alter des Patienten. Der Operateur hat die Auswahl aus mehr als 150 verschiedenen Operationsverfahren, die von einer Abtragung des Ballens bis hin zu aufwendigen versteifenden Operationen reichen (Arbab et al.).
Prinzipien der Hallux valgus Chirurgie:
Cheilektomie:
Die Abtragung von Exophyten (Knochenvorsprung) und des Ballens können bei geringer Fehlstellung bereits zu einer Beschwerdelinderung führen.
Weichteileingriffe:
Aufgrund der Dysbalance auf der Innen- und Außenseite des Großzehengrundgelenkes ist regelhaft kann eine Raffung der innenseitigen Sehne und Kapsel und eine Lockerung der außenseitigen Sehnen und Kapsel sinnvoll sein. Letzteres wird häufig als laterales Release bezeichnet.
Osteotomien:
Osteotomien bezeichnen die Durchtrennungen und Umstellungen von Knochen. Sie können an der Basis der Großzehe, am zehenseitigen (distalen) Mittelfußknochen am Schaft des Mittelfußknochens oder an der Basis des Mittelfußknochens einzeln oder in Kombination durchgeführt werden. Die Verschiebung und Fixation des Knochens in korrigierter Stellung soll eine dauerhaften Umstellung erzielen. Eine der häufigsten Osteotomien ist die Chevron- und die Akin- Osteotomie. Osteotomien werden häufig mit Weichteileingriffen kombiniert.

Arthrodese:
Arthrodesen bezeichnen Versteifungen. In der Hallux valgus Chirurgie kann eine Versteifung des Großzehengrundgelenks bei fortgeschrittenem Verschleiß mit gleichzeitiger valgische Fehlstellung indiziert sein.
Eine übermäßige Beweglichkeit im ersten Mittelfußgelenk (TMT-I Gelenk) bei gleichzeitiger Achsabweichung des Mittelfußknochens kann mittels einer TMT I-Gelenk oder sog. Lapidus Arthrodese behandelt werden. Die TMT I Arthrodese wird auch häufig bei sehr schweren Hallux valgus Stadien angewendet. Sie kann mit anderen Techniken, wie Osteotomien oder Weichteileingriffen kombiniert werden.

Minimalinvasive Hallux valgus Chirurgie:
In der minimalinvasiven Hallux valgus Chirurgie (MIS) kann durch die Kombination verschiedener Techniken über kleinste Zugänge eine Korrektur des 1. Strahls erzielt werden. Häufig werden unter Verwendung kleiner Fräsen Osteotomien an verschiedenen Stellen des ersten Strahls durchgeführt.

Nachbehandlung:
Die Nachbehandlung nach HV Operation richtet sich nach dem gewählten Operationsverfahren ist ebenso individuell wie die Auswahl der operativen Therapie. Grundsätzlich sollte der frisch operierte Fuß, unabhängig vom Operationsverfahren, hochgelagert und gekühlt werden. Die Durchführung von Lymphdrainagen kann zudem helfen Schwellungszustände zu reduzieren. Isolierte oder kombinierte Weichteilkorrekturen und knöcherne Eingriffe im Bereich des Mittelfußköpfchens sowie des Grundgliedes (zum Beispiel Chevron- und Akin-Osteotomie) können regelhaft in einem Verbandsschuh unter Vollbelastung nachbehandelt werden. Eingriffe im Bereich der Basis des Mittelfußknochens und der Mittelfußgelenke müssen häufiger entlastet bzw. teilbelasten werden. Knöcherne oder weichteilige Eingriffe im Bereich des Großzehengrundgelenkes werden häufig durch einen redressierenden Verband nachbehandelt. Dieser kann für den Zeitraum der Wundheilung und darüber hinaus angebracht werden und die Zehe in korrekter Stellung zur Ausheilung bringen. Die Verwendung von Orthesen (Zwischenzehenkeil oder Nachtschiene) erscheinen dann auch nach Wundheilung sinnvoll.
Wickelschema nach gelenkerhaltenden Hallux valgus Operation

Ihr Experte
Fuß- und Sprunggelenkchirurgie
