Hallux Rigidus
Der Hallux rigidus bezeichnet eine Einsteifung des Großzehengrundgelenkes im Rahmen einer Arthrose (Degeneration des Gelenkknorpels). Im Gegensatz zum Hallux valgus ist er nicht zwangsläufig mit einer Fehlstellung der Zehe vergesellschaftet. Es wird angenommen, dass ca. 2-3 % der Patienten über 50 Jahre an einer degenerativen Erkrankung des Großzehengrundgelenkes leiden und Männer häufiger betroffen sind als Frauen.

Ursachen
Die Ursachen für die Entstehung eines Hallux rigidus sind nicht endgültig geklärt. Häufig handelt es sich um eine primäre Arthrose ohne erkennbare Ursache. Neben einer familiären Häufung können aber auch Verletzungen, Stoffwechselerkrankungen (Gicht), rheumatische Erkrankungen und anatomische Besonderheiten als Ursache ausgemacht werden.
Ursachen des Hallux rigidus
- primäre Arthrose
- sekundäre Arthrose, z.B. nach Bruch (Fraktur)
- Stoffwechselerkrankungen
- rheumatische Erkrankungen
Klinik
Patienten mit Hallux rigidus beklagen eine zunehmende Einschränkung der Beweglichkeit im Großzehengrundgelenk. Dieses kann in frühen Stadien mit nur geringen Beschwerden einhergehen. Mit Fortschreiten der Arthrose und mit zunehmender Reduktion der Beweglichkeit kommt es jedoch häufig zu einer Zunahme der Schmerzen während des Abrollvorgangs. Um die Großzehe zu schonen wird das Gewicht während des Gangzyklus auf die Außenkante des Vorfußes verlagert. In Folge kommt es zu Beschwerden im Bereich der Mittelfußköpfe 2-5 (Metatarsalgie).
Symptome des Hallux rigidus
- Schwellung und Rötung im Bereich des Großzehengrundgelenks
- Schmerzen beim Gehen im Großzehengrundgelenk
- Verlagerung des Gewichtes auf die Fußaußenkante
- durch die Verlagerung auf die Fußaußenkante Schmerzen unter den Mittelfußköpfen 2-5 (Metatarsalgie)
- Fehlbelastung der betroffenen Extremität (Kniegelenk, Hüftgelenk, Wirbelsäule)
Diagnose
Betroffene Patienten klagen über die beschriebenen Beschwerden. In der klinischen Untersuchung zeigen sich in frühen Stadien häufig eine Schwellung und die Ausbildung von Osteophyten (Knochenanbauten) im Bereich des Großzehengrundgelenks. Die Beweglichkeit ist anfänglich nur gering eingeschränkt, mit zunehmender Degeneration des Knorpels nimmt diese zu und kann in endgradigen Stadien zu einer vollständigen Einsteifung des Gelenkes führen.
Bildgebende Diagnostik
Ein Röntgenbild im Stand in dorso-plantarer (d.p.) und streng seitlicher Ausrichtung zeigt die typischen Arthrosezeichen des Großzehengrundgelenkes:
- Gelenkspaltverschmälerung
- subchondrale Sklerosierung
- Exophyten
- Deformierung des Gelenkes
welche stadienabhängig unterschiedlich stark ausgeprägt sind.


Der Hallux rigidus lässt sich grob in drei Stadien unterteilen:
- Stadium I: geringe-mäßige Schmerzen, leichte bis mäßige Einschränkung der Bewegung, beginnende radiologische Veränderungen im Sinne einer Arthrose.
- Stadium II: intermittierender Ruheschmerz, starke Bewegungseinschränkung, deutliche radiologische Veränderungen im Sinne einer Arthrose
- Stadium III: starke Schmerzen, komplette Einigung des Gelenkspaltes mit Ausbildung überbrückender Osteophyten
Therapie
Die Therapie des Hallux rigidus ist abhängig von den Beschwerden, den Bewegungseinschränkungen und dem Anspruch des Patienten. Es stehen konservative als auch operative Therapieoptionen zu Verfügung.
Konservative Therapie
Die konservative Therapie soll Beschwerden lindern und die Mobilität als auch die Lebensqualität des Patienten erhalten oder verbessern. Einige Patienten sind auch bei fortgeschrittenen Arthrosestadien des Großzehengrundgelenkes nur gering eingeschränkt und profitieren von der konservativen Behandlung.
Zu den konservativen Therapieansätzen gehören u.a.:
- spezielle Einlagenversorgung: sog. Rigidusfeder als versteifende Einlage zur Entlastung des Großzehengrundgelenkes
- Schuhzurichtung: Sohlenzurichtung mit Abrollhilfe
- Beübung: Erhalt und Verbesserung der Beweglichkeit des Großzehengrundgelenkes durch Zug, Dehnung, Mobilisierung und Kräftigung in Eigenregie/physiotherapeutischer Anleitung
- Injektionen: von Lokalanästhetika, Cortison oder Hyaluronsäure
Operative Therapie
Eine operative Therapie des Hallux rigidus ist indiziert, wenn konservative Maßnahmen keine ausreichende Beschwerdelinderung erbracht haben und eine persistierende Schmerzhaftigkeit und Beeinträchtigung der Lebensqualität vorliegen. Im Wesentlichen werden zwei operative Therapieansätze unterschieden:
- Gelenkerhaltende Verfahren: z.B. Cheilektomie
- Gelenksersetzende Verfahren: z.B. Arthrodese oder Prothese
Die Wahl des optimalen operativen Vorgehens hängt von mehreren Faktoren ab und sollte durch einen erfahrenen Fußspezialisten erfolgen. Entscheidend sind v.a. das Ausmaß der Beschwerden, der Grad der Arthrose, Deformitäten, das Alter und der Anspruch des Patienten. Die Wahl des Operationsverfahrens sollte individuell und auf die Bedürfnisse des Patienten ausgerichtet sein. Gelenkerhaltende Verfahren wie die Cheilektomie können bei leichten Arthrosen zum Erhalt oder der Verbesserung der Beweglichkeit genutzt werden. Die Abtragung überstehenden Knochens und die Mobilisierung der Gelenkkapsel können eine Verbesserung erzielen und ggf. das Fortschreiten der Arthrose verlangsamen.

Bei fortgeschrittener Degeneration mit starken Schmerzen ist ein gelenkerhaltendes Verfahren nicht weiterführend, in diesen Fällen sollten die Optionen einer gelenkersetzenden Behandlung geprüft werden.
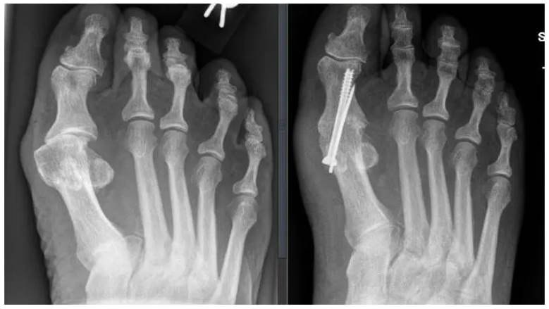
Arthrodese des Großzehengrundgelenkes:
Die Arthrodese (Versteifung) ist bei schweren und endgradigen degenerative Veränderung des Großzehengrundgelenkes mit entsprechender Beschwerdesymptomatik nach Ausreizung konservativer Maßnahmen indiziert. Aufgrund der guten postoperativen Ergebnisse wird sie als Goldstandard bezeichnet. Die Versteifung kann durch Schrauben, Platten bzw. Drähte erfolgen. Die Zehe wird bei Fehlstellung in achskorrigierter Stellung versteift. Der Vorteil der Arthrodese liegt in einer dauerhaften Therapie, bei der die meisten Patienten nach Ausheilung schmerzarm oder schmerzfrei sind. Ein hinkfreies Gangbild mit Abrollen über die Großzehe kann in der Regel durchgeführt werden.

Oberflächenersatzprothesen aus Polyvinyl Alkohol (Cartiva®) bieten eine in Deutschland seit kurzer Zeit zur Verfügung stehende, erfolgsversprechende Alternative zur Versteifung. In großen internationalen Studien konnten gute Ergebnisse hinsichtlich Zuverlässigkeit, Haltbarkeit, Beschwerdelinderung und Beweglichkeit dargelegt werden.
Die Totalprothese am Großzehengrundgelenk soll in fortgeschrittenen Stadien eine Alternative darstellen. Die Standzeiten sind jedoch, im Gegensatz zu den Prothesen an Hüft-und Kniegelenk, deutlich kürzer und Versager- und Revisionsraten hoch.
Ihr Experte
Fuß- und Sprunggelenkchirurgie
