Brachymetatarsie
Die Brachymetatarsie ist eine Verkürzung eines oder mehrerer Mittelfußknochen (Lat.: brachy=kurz, Metatarsus=Mittelfußknochen).
Ursachen
Bei der Brachymetatarsie handelt es sich um eine angeborene Verkürzung eines oder mehrerer Mittelfußknochen. Die Ursache dafür ist unklar.
Klinik
Die Verkürzung eines Mittelfußknochens geht nicht zwangsläufig mit einer Beschwerdesymptomatik einher. Es kann jedoch bei einer Fehlbelastung der Mittelfußköpfe zu einer Beschwerdesymptomatik (Metatarsalgie) kommen. Häufig sind Mädchen und junge Frauen betroffen, die aufgrund des kosmetischen Befundes eine deutliche Beeinträchtigung beklagen.

Symptome des erworbenen Knick-Senkfußes
- Schmerzen unter den Mittelfußköpfen (Metatarsalgie)
- störende Kosmetik
Diagnose
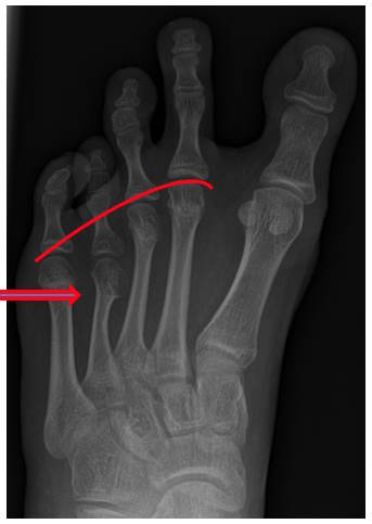
Bei der Brachymetatarsie handelt es sich um eine Blickdiagnose. Die Verkürzung des Mittelfußknochens geht mit einer Verkürzung des gesamten Strahles einher. Dadurch erscheint die betroffene Zehe verkürzt.
Bildgebende Diagnostik
Ein Röntgenbild im Stand in dorso-plantarer (d.p.) und streng seitlicher Ausrichtung zeigt die Lokalisation und das Ausmaß der Verkürzung.
Therapie
Die Therapie der Brachymetatarsie ist abhängig vom Beschwerdebild. Bei asymptomatischen Verläufen ist keine spezifische Therapie erforderlich. Bei Vorliegen einer Metatarsalgie können konservative als auch operative Maßnahmen erwogen werden.
Konservative Therapie
Die konservative Therapie der Brachymetatarsie zielt auf eine Linderung der Beschwerden unter den Mittelfußköpfen (Metatarsalgie). Dieses kann durch eine individuell gefertigte Einlage mit Aussparung und Weichbettung der überlastenden Mittelfußköpfe durchgeführt werden. Sind diese Maßnahmen nicht ausreichend ist eine Sohlenversteifung mit Abrollhilfe zu erwägen.
Zu den konservativen Therapieansätzen gehören u.a.:
- Einlagenversorgung
- Schuhmodifikation mit Abrollhilfe

Operative Therapie
Die operative Verlängerung eines Mittelfußknochens kann durch unterschiedliche Techniken erzielt werden. Die Wahl der OP-Technik ist abhängig von verschiedenen Faktoren, wie Alter und erforderlicher Verlängerungsstrecke.
Bei der Verlängerung mit einem Fixateur (intern oder extern) wird der Mittelfußknochen an einer Stelle durchtrennt und durch eine kontinuierliche Verschiebung des distalen Fragmentes zu einem verlängernden Wachstum angeregt. Diese Technik ermöglicht auch größere Verlängerung (> 1 cm), ist jedoch sehr zeitaufwendig und birgt ein hohes Risiko an Komplikationen.
Bei der Verlängerung durch Interposition („dazwischen-setzen“) eines Knochenspans wird der Mittelfußknochen durchtrennt und ein Knochen entsprechender Breite (z.B. aus dem Beckenkamm) zwischen die Knochenfragmente eingefügt und fixiert.



Ihr Expererte
Fuß- und Sprunggelenkchirurgie
