OSG Arthrose: Arthrose des oberen Sprunggelenkes

Bei der Arthrose handelt es sich um eine Degeneration (Verschleiß) des Knorpels eines Gelenks, welches das altersübliche Maß übersteigt. Die Arthrose des oberen Sprunggelenkes (OSG) betrifft den Knorpel des Sprungbeins (Talus) und der Sprunggelenksgabel bestehend aus distalem Schienbein (Tibia) und distalem Wadenbein (Fibula).

Ursachen

Die häufigste Ursache für die Arthrose des oberen Sprunggelenkes sind abgelaufene Verletzungen. Diese Arthrose wird als posttraumatische Arthrose bezeichnet. Posttraumatische Arthrosen treten auf Nachbrüchen im Bereich des Sprunggelenkes aber auch instabilen, nicht vollständig verheilten Bandverletzungen. Weniger häufig sind primäre Arthrosen (ohne erkennbare Ursachen) oder sekundäre Arthrosen aufgrund anderer Ursachen wie  rheumatoide Grunderkrankungen, Fehlstellungen oder Stoffwechselerkrankungen (Gicht, Hämochromatose, u.a.).

Ursachen der OSG Arthrose

  •  Nach Unfällen (posttraumatisch)
  •  Nach Brüchen (Frakturen)
  •  chronische Gelenkinstabilität
  •  primäre Arthrose
  •  rheumatisch
  •  diabetisch; Charcot-Fuß
  •  Stoffwechselerkrankungen

 

Schwere Deformität bei fortgeschrittener OSG Arthrose

Klinik

Die Beschwerden bei Arthrose des oberen Sprunggelenkes sind abhängig vom Ausprägungsgrad. In initialen Stadien klagen Patienten häufig über drückende Schmerzen im Bereich des oberen Sprunggelenkes. Diese Beschwerden sind vor allem belastungsabhängig und treten nach längerer oder intensiver Belastung auf. Bei fortschreitender Degeneration (Abnutzung) des Knorpels kommt es zu einer Zunahme der Schmerzen (auch in Ruhe) und zu einer Einschränkung der Mobilität sowie der Lebensqualität. Die Schmerzen können in den Unterschenkel oder in den Fuß ausstrahlen. In endgradigen Stadien sind eine deutliche Beeinträchtigung der Beweglichkeit des Sprunggelenkes und Fehlstellungen möglich. Der einseitige Abrieb von Gelenkknorpel und Knochen führt zur Ausbildung von Achsabweichung im Sinne einer Varus-oder Valgusfehlstellung des oberen Sprunggelenkes.

Symptome der OSG Arthrose

  • Anlaufschmerz und Ruheschmerz
  • Schmerzen nach längerem Gehen und Stehen
  • Einschränkung der Beweglichkeit des OSG
  • Gelenkreiben und –blockieren
  • Schwellung und Überwärmung des Gelenks
  • Fehlstellungen des OSG und hinkendes Gangbild

Diagnose

Anamnestisch zeigt sich oftmals ein langjähriger Verlauf mit einer Zunahme der Beschwerden. Viele Patienten berichten von einem vor Jahren stattgefundenen Trauma (Unfall) mit oder ohne knöcherne Verletzung. Die klinische Untersuchung zeigt in den Anfangsstadien nur eine milde Einschränkung der Beweglichkeit, insbesondere der Dorsalextension (Bewegung des Fußes nach oben). Teilweise liegt eine Schwellung im Bereich der Knöchel vor. Mit zunehmender Degeneration kommt es zu einer fortschreitenden Bewegungseinschränkung und Schwellneigung sowie Fehlstellung des Gelenkes.

Bildgebende Diagnostik

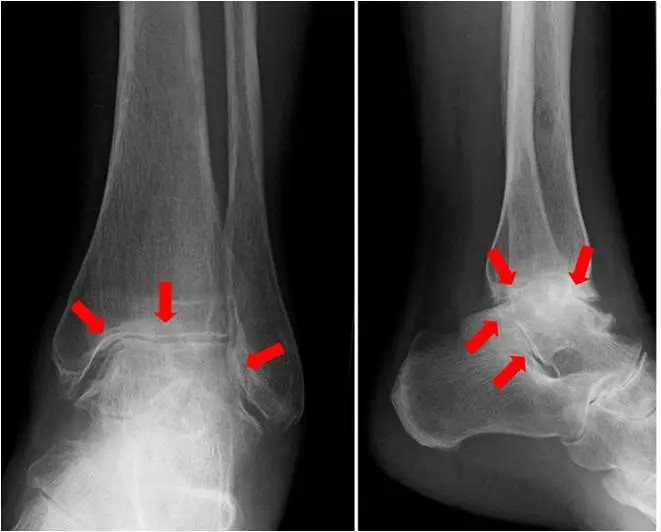
Das Röntgenbild des Sprunggelenkes in zwei Ebenen im Stand zeigt in fortgeschrittenen Fällen typische Arthrosezeichen:

  • Gelenkspaltverschmälerung
  • subchondrale Sklerosierung
  • Exophyten
  • Deformierung des Gelenkes
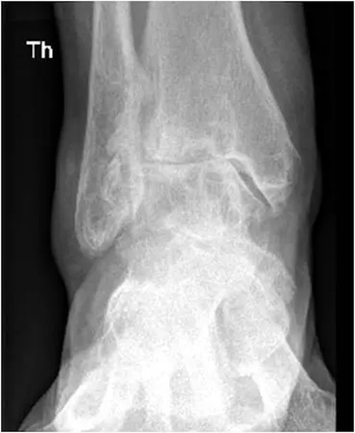
Röntgenbild einer OSG Arthrose mit starker Verschmälerung des Gelenkspalts

welche stadienabhängig unterschiedlich stark ausgeprägt sind.

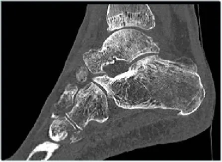
Spezialaufnahmen wie die Saltzman-Aufnahme oder Rückfußaufnahme können helfen die Rückfußachse zu beurteilen. In fortgeschrittenen Fällen und zur präoperativen Planung ist ggf. eine Schnittbildgebung in Form eines CT oder MRT sinnvoll,.

CT einer OSG Arthrose

Therapie

Das Ziel der Behandlung der OSG Arthrose ist der Erhalt der Mobilität und eine Beschwerdelinderung. Bei der Wahl der Behandlungsmöglichkeiten sind neben dem Ausmaß der Fehlstellung auch patientenindividuelle Faktoren zu berücksichtigen. So spielen der Bewegungsanspruch und auch das Alter eine wichtige Rolle.

Konservative Therapie

Die primäre Behandlung der Arthrose des oberen Sprunggelenkes sollte durch konservative (nicht-operative) Verfahren durchgeführt werden. Sie umfasst Maßnahmen wie die Einnahme von Schmerzmitteln, Anpassung des Schuhwerks (überknöchelhoher Schaft), Schuhzurichtung (Sohlenzurichtung mit Abrollhilfe), physikalischen Maßnahmen und die Verwendung von knöchelstabilisierenden Orthesen. Wichtig ist ein Erhalt der Beweglichkeit des Sprunggelenkes. Dazu sollten kräftigende und dehnende Übungen regelmäßig durchgeführt werden. Diese können unter physiotherapeutischer Anleitung erlernt und dann in Eigenregie weiter angewendet werden. Die Injektion von Lokalanästhethika, Cortison oder Hyaluronsäure kann in Zusammenschau der Befunde in Einzelfällen indiziert sein, sollte aber durch einen Fußspezialisten geprüft werden.

 Zu den konservativen Therapieansätzen gehören u.a.:

  • Gewichtsreduktion
  • Schuhzurichtung
  • Orthesenversorgung
  • Physikalische Maßnahmen (Wärme, Kälte)
  • Schmerzmittel

Operative Therapie

Kommt es trotz Ausreizung der konservativen Maßnahmen zu einer Zunahme der Beschwerden, deutlichen Einschränkung der Mobilität und Lebensqualität und zu einer Fehlstellung des Gelenkes  ist die operative Versorgung des oberen Sprunggelenkes zu prüfen.

Im Wesentlichen werden folgende operative Therapieansätze unterschieden:

  • Gelenkerhaltende Verfahren: z.B. (supramelleoläre) Umstellungsosteotomien, Arthroskopie
  • Gelenksersetzendes/-opferndes Verfahren: z.B. Arthrodese oder Prothese

Die Wahl des optimalen operativen Vorgehens hängt von mehreren Faktoren ab und sollte durch einen erfahrenen Fußspezialisten erfolgen. Entscheidend sind v.a. das Ausmaß der Beschwerden, der Grad der Arthrose, Deformitäten, das Alter und der Anspruch des Patienten. Die Wahl des Operationsverfahrens sollte individuell und auf die Bedürfnisse des Patienten ausgerichtet sein.

Gelenkerhaltende Verfahren:

Die arthroskopische Operation des Sprunggelenkes ist keine primäre Therapie der Arthrose. Sie kann jedoch indiziert sein, wenn beispielsweise freie Gelenkkörper oder eine Bewegungsblockade (Impingement) aufgrund knöcherner Anbauten (Exostose) vorliegen. Die Entfernung der Gelenkkörper und Bewegungsblockaden kann in günstigen Fällen das Fortschreiten der Arthrose des Sprunggelenkes verlangsamen und ist in Initialstadien zu prüfen.

Eine gelenkerhaltende, supramalleoläre (oberhalb des Knöchels) Umstellungsosteotomie soll eine Korrektur der Beinachse und eine Beseitigung von Fehlstellungen bewirken. Durch die Wiederherstellung der Symmetrie des Sprunggelenkes kommt es zu einer gleichmäßigen Belastung des bereits vorgeschädigten Knorpels. Dadurch kann in günstigen Fällen ein Fortschreiten der Arthrose verzögert werden.

Gelenkersetzende Verfahren: Diese genannten Maßnahmen sind bei sehr fortgeschrittenen Degenerationen mit deutlicher Einschränkung der Beweglichkeit nicht mehr möglich. Dann bietet sich ein gelenkopferndes Verfahren an. Dabei wird unterschieden zwischen einer Versteifung (Arthrodese) des Sprunggelenks oder einer Sprunggelenksprothese. Die Arthrodese des Sprunggelenkes bietet den Vorteil, dass es sich dabei um eine endgültige Behandlung handelt, d.h. dass bei erfolgreich versteiftem Gelenk keine weiteren Operationen im Bereich des oberen Sprunggelenkes erforderlich sind. Der Nachteil besteht vor allem in einer Beeinträchtigung des Gangzyklus durch die Stilllegung des Gelenkes.

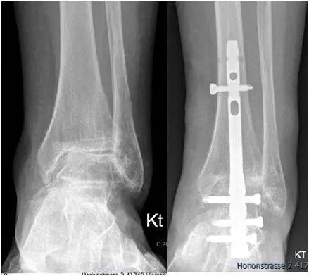
Schwere OSG Arthrose mit Verkippung des Talus, operativ versorgt mittels einer Nagelarthrodese

Die OSG-Prothese hingegen bietet den großen Vorteil des Erhalts der Beweglichkeit des Sprunggelenkes. Es ist jedoch anzumerken, dass eine Verbesserung der Beweglichkeit gegenüber dem Ausgangsbefund vor OP in der Regel nicht erzielt wird. Zudem hat die Prothese den Nachteil, dass sich diese im Laufe der Zeit lockern kann. Das Lockern der Prothese ist dann mit einer erneuten Operation verbunden, die sehr aufwendig ist (Prothesenwechsel oder Versteifung). Die Standzeit (Haltbarkeit)der Sprunggelenksprothesen ist bis heute noch nicht mit den guten Ergebnissen der Hüft- oder Kniegelenksprothesen zu vergleichen. Die Indikation und Behandlung mit einer Sprunggelenksprothese sollte durch einen erfahrenen Fußspezialisten erfolgen.

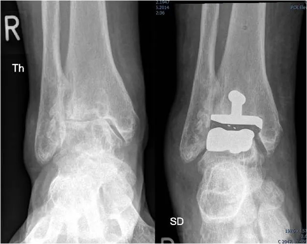
OSG-Arthrose (rechts) behandelt mit einer OSG Prothese

Unsere Experten

Fusschirurgie

Klinikdirektor Priv.-Doz. Dr. med. Dariusch  Arbab
Klinikdirektor

Priv.-Doz. Dr. med.
Dariusch Arbab