Knorpel-Knochen-Defekte des oberen Sprunggelenks: Osteochondrosis Dissecans (OD) Und Osteochondrale Läsionen (OCL)
Verletzungen und Erkrankungen des Knorpels am Sprunggelenk stellen sich hinsichtlich Beschwerden und Ausprägung sehr unterschiedlich dar. Sie können sich als kleinste, wenig schmerzhafte Knorpelerweichungen darstellen oder als stark beeinträchtigende, fokal-größere Defekte der gesamten Knorpelschicht und des darunterliegenden Knochens. Häufig besteht keine Korrelation (Zusammenhang) zwischen Beschwerdeintensität und Defektschwere, -größe oder -lokalisation. Dieses macht die Diagnose und auch eine zielgerichtete Therapie anspruchsvoll und sollte individuell erfolgen.
Ursachen
Knorpeldefekte des oberen Sprunggelenks können aufgrund von Fehl- und Überlastungen aber auch durch Unfälle, Instabilitäten oder ohne erkenntliche Ursache auftreten. Sie werden häufig als Osteochondrosis dissecans oder Osteochondrale Läsionen bezeichnet. Die Knorpelschäden finden sich häufig im Bereich des medialen oder lateralen Sprungbeins (Talus), können jedoch auch die distale Tibia (Unterschenkelknochen) betreffen. Neben dem Knorpelüberzug können auch darunterliegende Anteile des Knochens betroffen sein.
Ursachen von Knorpel-Knochendefekten des Sprunggelenks
- Fehl- und Überlastung
- Distorsionen (Umknick-Verletzungen)
- Instabilität des Sprunggelenks
Klinik
Patienten mit Knorpelverletzungen des oberen Sprunggelenks klagen häufig über Schmerzen bei Belastung und teilweise auch nach Belastung oder in Ruhe. Einige Patienten berichten von einem Unfall mit Schwellenneigung und anschließender Bewegungseinschränkung. Die Schmerzen lassen sich häufig nur schlecht lokalisieren, meist wird ein tiefer und dumpfer Schmerz angegeben. Einige Patienten sind jedoch auch komplett beschwerdefrei und es handelt sich um einen Zufallsbefund, der durch ein bildgebendes Verfahren (Röntgen, CT, MRT) diagnostiziert wird.
Symptome von Knorpel-Knochendefekten des oberen Sprunggelenks
- können vollständig asymptomatisch verlaufen
- Schmerzen und Schwellung des Sprunggelenks
- Einschränkungen der Beweglichkeit des Sprunggelenks
Diagnose
Bei der klinischen Untersuchung können eine Schwellung oder Bewegungseinschränkung des oberen Sprunggelenks vorliegen. Die Palpation des oberen Sprunggelenkspalts kann Schmerzen verursachen, lässt jedoch nur selten auf die Lokalisation des Knorpel-Knochen-Defekts schließen. Wichtig ist die Beurteilung der Fußform hinsichtlich möglicher Fehlstellungen (Knicksenkfuß, Hohlfuß) und die Beurteilung der Stabilität des oberen Sprunggelenks. Fehlstellungen und Instabilitäten können die Ursache eines Knorpel-Knochen-Defekts sein oder diesen in seiner Abheilung behindern.
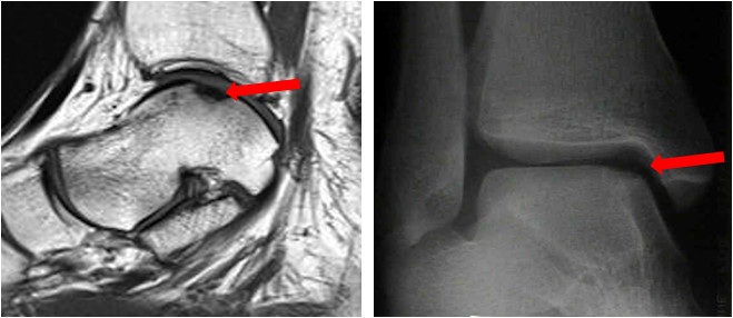
Bildgebende Diagnostik
Gesichert wird die Diagnose durch ein bildgebendes Verfahren. Dieses sollte primär aus einer Röntgen-Untersuchung des oberen Sprunggelenks in zwei Ebenen bestehen. Dort lassen sich häufig bereits knöcherne Defekte, insbesondere im Bereich des Sprungbeins darstellen. Zur genauen Beurteilung der Knorpelverletzung dient die Magnetresonanztomographie (MRT). Sie erfasst neben der Knorpelläsion auch Ödeme im Bereich des Knochens und Begleitpathologien wie Sehnenverletzungen oder Bandverletzungen. Die Computertomografie ist hinsichtlich der Darstellung des Knochendefektes dem MRT überlegen und kann in besonderen Fragestellungen ebenfalls indiziert sein.

Therapie
Die Therapie osteochondraler Läsionen zielt auf eine Wiederherstellung der knorpeligen Gelenkoberfläche und Rekonstruktion des Knochens. Sie soll Beschwerden lindern und das Fortschreiten des Knorpel-Knochen-Defekts verhindern.
Konservative Therapie
Asymptomatische Zufallsbefunde und Läsionen im Stadium I und II können konservativ behandelt werden. Diese kann aus einer physiotherapeutischen Beübung, der Einnahme von entzündungshemmenden Schmerzmitteln oder physikalischen Maßnahmen bis hin zur Entlastung des Sprunggelenks bestehen. Zu den konservativen Therapieansätzen gehören u.a.:
- Entlastung und Ruhigstellung in der Akutphase
- Physikalische Maßnahmen
- Taping und stützende Orthesen
- Beübung: Kräftigung, Dehnung und Propriozeption im Verlauf
Operative Therapie
Die Indikation zur Operation richtet sich nach der Größe, der Lokalisation, dem Alter des Patienten und Begleitpathologien (Instabilität, u.a.). Sie bedarf einer genauen Beurteilung durch einen Fußspezialisten.
Arthroskopie und Knorpelglättung
Die arthroskopische Spülung und Knorpelglättung sind einfache Verfahren, die häufig nur kurzfristigen Erfolg bieten.
Retrograde Anbohrung
Kleine knöcherne Defekte ohne Hinweis auf eine Schädigung des darüber liegenden Knorpels können durch eine Anbohrung behandelt werden. Die Anbohrung erfolgt häufig mit Drähten oder einem dünnen Bohrer der abhängig von der Lokalisation von fußwärts eingebracht wird. Damit lassen sich kleine zystische Veränderung des Knochens und kleinere knöcherne Defekte häufig adressieren.

Mikrofrakturierung
Durch eine Mikrofrakturierung wird der Knochen unter dem defekten Knorpelareal eröffnet. Dieses führt zu einer Einblutung in die Defektzone. Die Einblutung bedingt die Einwanderung von Stammzellen, die sich in Folge in Faserknorpelzellen differenzieren sollen. Dadurch soll ein Ersatzknorpel im Defekt Bereich entstehen. Das Verfahren der Mikrofrakturierung kann arthroskopische durchgeführt werden und weist für defekte kleiner bis mittlerer Größe (1,5 cm²) in der Literatur gute Ergebnisse auf. Größere Defekte sind mit schlechteren Ergebnissen vergesellschaftet.
Autologe osteochondrale Transplantation (OATS)
Die autologe osteochondrale Transplantation (OATS) umfasst die Transplantation von Knorpel-Knochen-Zylindern in den Defektbereich. In der Regel werden Zylinder aus einem belastungsfreien Abschnitt des Kniegelenkes entnommen. Dieses Verfahren eignet sich insbesondere bei größeren Defekten im Bereich des Sprungbeins (Talus). Die Erfolgsrate für diese Technik ist in der wissenschaftlichen Literatur als hoch einzustufen. Die Entnahme des Zylinders aus dem Kniegelenk birgt jedoch die Gefahr von Beschwerden des Kniegelenks selber. Zudem erfordert die Implantation des Zylinders am Sprunggelenk die Osteotomie (Durchtrennung) des Innen- bzw. Außenknöchels.
Matrixassoziierte Verfahren
Bei matrixassoziierten Verfahren wie der autologen matrixinduzierten Chondrogenese (AMIC®) wird eine Mikrofrakturierung des Knochens durchgeführt und anschließend eine Matrix aufgebracht. Durch die Einblutung in die Defektzone soll es ebenfalls zu einer Ausbildung von Ersatzknorpel kommen. Die Ergebnisse dieser Verfahren werden in der Literatur als gut bis sehr gut beschrieben. Es handelt sich um ein einzeitiges Verfahren, das häufig ohne die Osteotomie eines Knochens durchgeführt werden kann. Das Gelenk kann entsprechend der Defekt Lokalisation über einen kleinen Schnitt eröffnet werden. Darüber erfolgt die Anlage der Membran.
Nachbehandlung
Die Nachbehandlung von operativ behandelten Knorpel-Knochen-Defekten ist abhängig vom gewählten Verfahren und der Defektgröße. In der Regel bedarf die Regeneration des Knorpels sechs Wochen. Für die Zeit wird regelhaft eine Entlastung oder Teilbelastung des Sprunggelenks erforderlich.
Unsere Experten
Fusschirurgie
