Schulterinstabilität und Schulterluxation

Zu kleine Schultergelenkspfanne im MRT.

Bei der Schultergelenksluxation (Ausrenkung) rutscht der Oberarmkopf aus der Schultergelenkpfanne, was in der Regel mit dem Abriss der vorderen Gelenklippe (sog. Labrum) verbunden ist. Gelegentlich kommt es auch zum Abriss von knöchernen Fragmenten der Pfanne. Eine Erstluxation ist häufig die Folge eines Sturzereignisses, danach neigt die vorgeschädigte Schulter insbesondere bei Jugendlichen und jungen Erwachsenen zur Spontanluxation bei alltäglichen Bewegungen. Gelegentlich ist anlagebedingt eine Laxizität der Schulterbänder vorhanden, so dass Verrenkungen der Schulter nach vorn und/oder hinten möglich sind. Bei machen Patienten ist die normalerweise birnenförmige Schulterpfanne nicht korrekt entwickelt, sodass der große Oberarmkopf kein suffizientes Widerlager hat und zur Luxation ohne Unfallereignis neigt.

 

Diagnostik

Neben der Anamnese ist die klinische Untersuchung mit Nachweis einer Schulterinstabilität bereits richtungsweisend. Ergänzt wird dieses durch eine Ultraschalluntersuchung  und einem Kernspin-Tomogrammm (MRT).

Therapie

Die Therapie sollte ganz individuell je nach Ursache, Gelenkbefund, Alter sowie Aktivität des Patienten erfolgen.
Die Operation der Schulterinstabilität erfolgt meist arthroskopisch und hat die Anheftung der Gelenklippe sowie die Raffung der vorderen Gelenkkapsel zum Verschluss der Luxationstasche zum Ziel (Operation nach Bankart).

Bei den knöchernen Abrissen der vorderen Gelenkpfanne die zu klein sind um mit Ankern oder Schrauben refixiert zu werden hat sich die endospkopische Refixation der knöchernen Fragmente mit dem Labrum bewährt. Bei angeborener zu kleiner Schultergelenkpfanne werden in unserer Klinik andere Verfahren, insbesondere die Pfannenplastik nach Latarjet der Labrumrefixation vorgezogen.

 

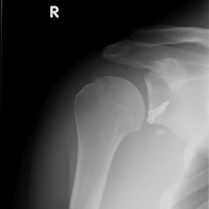
Zustand nach Vergrößerung der Gelenkspfanne mittels patienteneigenem Knochentransfer aus dem Rabenfortsatz und dessen Verschraubung am vorderen Pfannenrand.

Nachbehandlung

Nach den oben beschriebenen Engriffen wird der operierte Arm in einer Orthese für 6 Wochen teilweise ruhiggestellt (Schulterprogramm IV). Bei mutidirektionalen Instabilitäten sei eine Ruhigstellung des Armes in einem, die Hälfte des Brustkorbes umfassendem Gips für ebenfalls 6 Wochen notwendig.

In der Regel sei nach ca. 12 Wochen eine erneute Aufnahme der beruflichen Aktivität sowie die meisten sportlichen Betätigungen wieder problemlos möglich.

Unsere Klinik behandelt seit Jahren Patienten mit Schulterinstabilitäten, sodass wir über eine große Erfahrung in der Behandlung dieses Krankheitsbildes verfügen. Unser seit Jahren angewandtes therapeutisches Verfahren, welches wir ständig um neue Techniken erweitern, resultiert in hohem Erfolg und damit geringer Gefahr erneuter Schulterluxation.

Gerade die häufig sehr jungen und sportlich aktiven Patienten profitieren hiervon für einen normalen Alltag und eine aktive Freizeit. 

Unsere Experten

Schulter

Leiter der Schulter- und Ellenbogenchirurgie  Dmitry Kuznetsov
Leiter der Schulter- und Ellenbogenchirurgie

Dmitry Kuznetsov