Haglund Exostose
Die Haglund-Exostose wird auch als Haglund-Ferse bezeichnet. Es handelt sich dabei um eine knöcherne Ausziehung oder Verbreiterung am hinteren Fersenbeinknochen (Kalkaneus) im Bereich des Achillessehnenansatzes. Durch den knöchernen Vorsprung kommt es während des Gangzyklus zu einem vermehrten Anpressdruck und “Reiben“ der Achillessehne am Knochen. Dieses kann zu Schmerzen führen.
Ursachen
Die Ursachen für die Ausbildung einer Haglund-Ferse sind nicht sicher bekannt. Häufig ist eine anlagebedingte Veränderung des oberen Fersenbeines vorhanden. Eine Fußfehlstellung wie z.B. der Pes cavovarus (Hohlfuß) können die Beschwerdesymptomatik eine Haglund-Ferse begünstigen. Auch werden teilweise hohe Trainingsbelastung oder falsche Schuhwerk als Ursachen angeführt.
Ursachen des erworbenen Knick-Senkfußes
- angeboren
- Hohlfuß
- Überlastung
- falsches Schuhwerk
Klinik
Patient mit einer Haglund Ferse klagen über Schmerzen während des Gehens im Bereich des Achillessehnenansatzes. Durch den vermehrten Druck kommt es zu einer Reizung der Achillessehne als auch des Schleimbeutels zwischen Achillessehne und Fersenbein (Bursa subachillea). Ist der Knochen am Fersenbein sehr ausladend kann es auch zu einem Schmerzereignis im Schuh gekommen.
Symptome des erworbenen Knick-Senkfußes
- Belastungsschmerz an der Ferse
- Schuhkonflikt
- Schleimbeutelentzündung an der Ferse
Diagnose
Betroffene Patienten klagen über die beschriebenen Beschwerden. In der klinischen Untersuchung zeigt sich häufig schon in der Blickdiagnose eine knöcherne Prominenz des Fersenbeines. Bei der klinischen Untersuchung kann auf Druck auf die Ferse und gegebenfalls auch Achillessehne ein Schmerz ausgelöst werden.
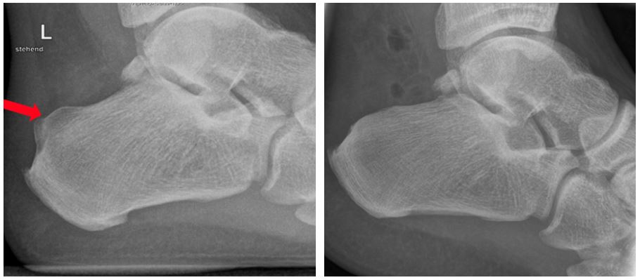
Bildgebende Diagnostik
Ein Röntgenbild des Fußes oder des Fersenbeines im Stand seitlich zeigt dann den vergrößerten Fersenbeinhöcker. Bei V.a. eine Achillessehnenreizung und eine Schleimbeutelreizung können auch eine Sonografie oder eine MRT ergänzend durchgeführt werden.

Therapie
Die Therapie der Haglund Ferse sollte primär konservativ erfolgen.
Konservative Therapie
In der akuten Phase können eine Sportpause und eine Reduktion bereits zu einer Beschwerdelinderung führen. Kurzzeitig kann eine Erhöhung der Ferse, z.B. durch ein Fersenkissen, durchgeführt werden. Dadurch wird der Druck der Achillessehne reduziert. Physikalische Maßnahmen (Eis, Wärme, Ultraschall) oder die Verwendung von Schmerzgels können ebenfalls eine Linderung erbringen. Bei Fußfehlformen (z.B. Pes cavovarus) ist ein Ausgleich durch eine massgefertigte Einlage durchzuführen. Auch die Stoßwellentherapie konnte in vielen internationalen Studien gute Therapieerfolge aufweisen.
Zu den konservativen Therapieansätzen gehören u.a.:
- Sportkarenz
- Einlagenversorgung (Fersenerhöhung, Ausgleich Fußfehlstellung)
- Physikalische Maßnahmen wie Eis, Wärme oder Ultraschall
- Stoßwellentherapie
- Beübung: Verbesserung der Beweglichkeit und Kraft des oberen Sprunggelenks durch Zug, Dehnung und Kräftigung in Eigenregie/physiotherapeutischer Anleitung
Operative Therapie
Eine operative Therapie der Haglund Ferse ist indiziert, wenn konservative Maßnahmen keine ausreichende Beschwerdelinderung erbracht haben und eine persistierende Schmerzhaftigkeit und Beeinträchtigung der Lebensqualität vorliegen. Die Haglund Exostose lässt sich dann in offener oder endoskopischer Technik abgetragen. In gleicher Prozedur kann ein entzündeter Schleimbeutel entfernt werden. Bei schwerwiegenden Fußfehlstellungen, wie z.B. einem Pes cavovarus sind diese Maßnahmen alleine oftmals nicht ausreichend. Dann sollte durch eine Fußspezialisten geklärt werden, ob eine Korrektur der Fußfehlstellung erforderlich ist.

Ihr Experte
Fuß- und Sprunggelenkchirurgie
