Kniegelenksersatz

Das Knie stellt ein komplexes Gelenk dar, welches im Alltag und beim Sport hohen Anforderungen ausgesetzt ist. Der Mensch legt in seinem Leben, je nach Lebensumständen, 70.000 – 200.000 km ( 1,5 mal – 4,5 mal um die Erde) zu Fuß zurück, wobei das Kniegelenk erheblichen Belastungen ausgesetzt ist. Allein beim Treppensteigen wirkt das 5-6fache des Körpergewichtes auf das Knie ein, und dies kann im Extremfall bis zum 10fachen bei bestimmten Sportarten (z.B. alpiner Skisport) ansteigen.
Um diesen Belastungen ein Leben lang standhalten zu können, müssen alle Gelenkanteile und natürlich auch die angrenzenden Gelenke intakt sein.
Das Kniegelenk kann durch Verletzungen, Fehlstellungen, Rheumaerkrankungen oder durch altersbedingten Verschleiß geschädigt werden. Seltene Ursachen für eine Schädigung sind der übermäßige Gebrauch des Gelenkes bei Extremsportlern und schwergewichtigen Menschen oder beruflich bedingte Überbelastungen (z.B. Fliesenleger).
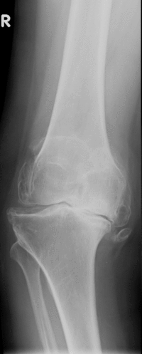
Die häufigste Ursache für den Gelenkverschleiß ist die altersbedingte Abnutzung des Gelenkes. Sind irreparable Schädigungen an Knochen und Knorpel aufgetreten, spricht man von einer Arthrose.
Beschwerden
Häufig besteht anfangs nur ein Gefühl der Gelenksteife und gelegentliche Belastungsschmerzen. Später treten dann Anlaufschmerzen, Bewegungseinschränkungen und Ruheschmerzen mit Schmerzausstrahlung in den Unterschenkel hinzu.
Das Kniegelenk neigt unter der schmerzhaften Belastung zu Schwellungen als Ausdruck eines entzündlichen Reizergusses und kann gelegentlich gerötet und überwärmt sein. Nicht selten führt die übermäßige Produktion von Gelenkflüssigkeit zu einer Kapselaussackung in der Kniekehle (Bakerzyste), die häufig als störend empfunden wird.
Auch geht die fortschreitende Arthrose nicht selten mit einer erheblichen Achsfehlstellung (O-Beine, X-Beine) der Beine einher.

Diagnostik
Neben einer klinischen Untersuchung steht die Röntgenuntersuchung an erster Stelle zur Diagnosestellung. Weitere Untersuchungsmethoden wie MRT und CT-Aufnahmen sind hierbei von untergeordneter Bedeutung.
Konservative Therapie
Die anfänglichen Arthrosebeschwerden lassen sich häufig noch durch konservative Maßnahmen lindern. Hierzu zählen die Gewichtsabnahme, Krankengymnastik, Schmerzmitteleinnahme, Bandagen, ggf. Einlagen oder Injektionen mit entzündungshemmenden oder knorpelunterstützenden Medikamenten.
Sollten diese Maßnahmen zu keiner Linderung führen und Lebensqualität und Mobilität in erheblichem Maße eingeschränkt bleiben, stehen operative Möglichkeiten zur Behandlung der Arthrose zur Verfügung.
Umstellungsosteotomien, Achskorrekturen
Die Umstellungsosteotomie dient der Wiederherstellung einer geraden Beinachse zur Vermeidung einer Arthrose oder Entlastung von bereits geschädigten Gelenkanteilen.
Sie ist ein operativer Eingriff, der eine krankhaft schräge Beinachse ausgleicht, indem Teile des gelenknahen Knochens je nach Technik entfernt oder eingefügt werden. Übermäßig schräge Beinachsen, wie zum Beispiel die fortgeschrittene O-Bein- oder X-Bein-Fehlstellung (Varus- oder Valgusdeformität), führen zu einer einseitigen Abnutzung des Gelenkknorpels, wodurch starke Schmerzen entstehen können.
Ist der Knorpel bereits großflächig geschädigt oder liegt eine Schädigung auch in anderen Knieglenksabschnitten vor, ist von einer Umstellungsoperation jedoch abzuraten.
Bei der Umstellungsosteotomie wird der gelenknahe Schienbein- oder Oberschenkelknochen durchtrennt und je nach Art der Achsabweichung mit einem körpereigenen Knochenkeil (z.B. Beckenknochen) abgestützt oder aber es wird ein Keil entnommen. Damit der Knochenspalt wieder zuheilt, muss der Knochen mit einer Platte und Schrauben stabilisiert werden. Nach der Ausheilungsphase sollte das eingebrachte Material in einer zweiten Operation ggfs. wieder entfernt werden.

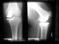
Teilprothese oder Schlittenprothese
Bei diesem Prothesenmodell wird nur der geschädigte innere, selten äußere Teil des Kniegelenkes ersetzt. Voraussetzung ist, dass eine Gelenkhälfte und das Kniescheibengelenk intakt sind, und stabile Bänder ohne höhergradige Bewegungseinschränkung vorliegen. Häufig wird diese Teilprothese bei isoliertem innenseitigen Knieverschleiß eingesetzt.

Das deutlich kleinere Implantat im Vergleich zur Vollprothese ermöglicht weichteilschonende Operationstechniken und kleinere Zugänge sowie einer schnellere Rehabilitation.



Kompletter Oberflächenersatz
Dieser Prothesentyp stellt den Standard in der Kniegelenksendoprothetik dar. Sind mehrere Teile des Kniegelenkes durch die Arthrose zerstört, müssen alle beteiligten Gelenkflächen ersetzt werden.

Bis auf wenige Ausnahmen (s.u.) kann ein Großteil der arthrotischen Kniegelenke mit diesem Prothesentyp behandelt werden.


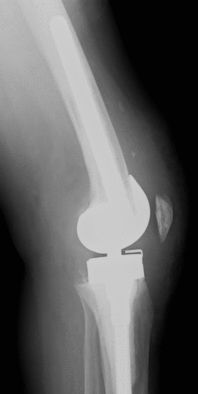
Gekoppelte oder achsgeführte Knieprothese
Bei schweren Abweichungen der Beinachse oder instabilen Seitenbändern ist die Versorgung mit einer der o.g. Prothesen nicht möglich. In diesen Fällen muss eine achsgeführte Prothese eingesetzt werden, bei der die Prothese die Funktion der Bänder übernimmt. Auch dieser Prothesentyp besteht aus einem Ober- und Unterschenkelanteil mit dem Unterschied, dass beide Teile über einen Zapfen oder eine Achse, ähnlich einem Scharnier, verbunden sind.

Durch die Koppelung der Prothesenteile wirken größere Hebelkräfte auf den Knochen und die Prothese, so dass eine größere Verankerungsstrecke im Knochen erforderlich ist, weshalb die Implantate über längere Stiele im Knochen verankert werden müssen.


Prothesenwechsel
Angesichts der demographischen Entwicklung in Deutschland mit immer älter werdender Bevölkerung wird die Zahl der implantierten Endoprothesen in Zukunft weiter steigen, somit ist bei Knieprothesen auch mit einer zunehmenden Anzahl an Wechseloperationen zu rechnen.
Diese Wechseloperationen können sich nur auf die Verschleißteile (z.B. Kunststoffinlays) beschränken, aber auch die im Knochen verankerten Prothesenteile betreffen. Im Falle einer Prothesenlockerung muss dann ein Teil oder die gesamte Prothese gewechselt werden. Da ein Wechsel häufig auch mit einem Knochenverlust einhergeht, muss eine spezielle Wechselprothese mit verschiedenen Ausbaumöglichkeiten, ähnlich einem Baukastensystem, (eine sog. modulare Prothese) implantiert werden.
Die modularen Prothesen ermöglichen es, auf die jeweilige Wechselsituation einzugehen und Knochendefekte individuell zu rekonstruieren. Auch hier gilt es wieder nach dem Prinzip „soviel wie nötig, so wenig wie möglich“ zu handeln.
Nachbehandlung
Der stationäre Aufenthalt nach einer Knieprothesenoperation ist von der Wundheilung und Mobilität des Patienten abhängig. Neben der Allgemeinnarkose können zur Operation die Beinnerven betäubt werden, so dass unmittelbar nach der Operation nur geringfügige Schmerzen auftreten sollten. Wenn diese Katheter nach etwa zwei Tagen entfernt werden, können die Patienten unter krankengymnastischer Anleitung an Unterarmgehstützen mobilisiert werden. Ein Großteil der Patienten kann direkt schmerzadaptiert belasten.
Eine Ausnahme besteht bei zementfreien tibialen (Unterschenkel-)Prothesen, da diese Komponenten zunächst in den Knochen einwachsen müssen, bevor man sie voll belasten kann. Dieser Zeitraum erstreckt sich über ca. 6 Wochen. Im Anschluss an den Krankenhausaufenthalt schließt sich die stationäre oder ggf. ambulante Rehabehandlung an. Die Organisation der Rehabehandlung erfolgt über den Sozialdienst des Hauses.
Unsere Experten
Endoprothetik

Klinikdirektor
Priv.-Doz. Dr. med.
Dariusch Arbab

Chefarzt für Hüft- und Knieendoprothetik
Dr. med.
Dimitri Tzivras

Oberarzt
Marcin Kucharczyk
