Schulter
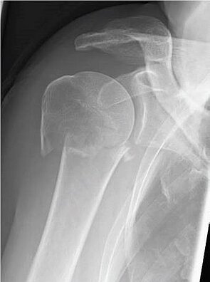
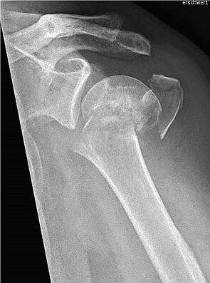
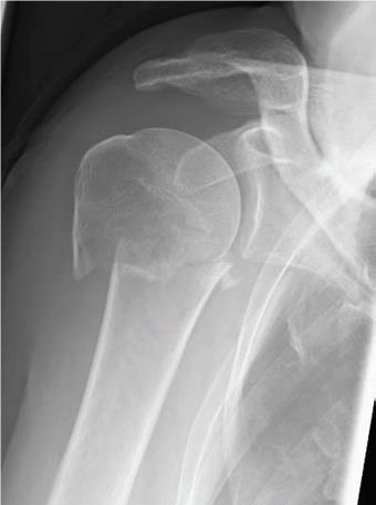
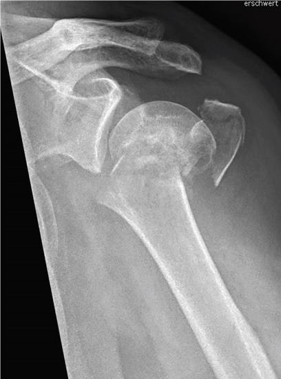
Einen weiteren Schwerpunkt in der Traumabehandlung stellt die Versorgung von Schulterbrüchen dar.
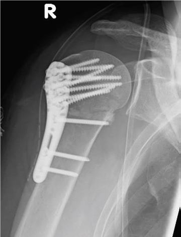
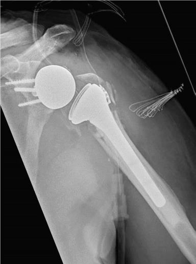
Während bei jüngeren Patienten die Rekonstruktion von Knochen und Gelenken im Vordergrund steht, führt bei älteren Patienten häufig der Gelenkersatz zur schnelleren Wiederherstellung der Beweglichkeit.
Hierfür kann die umfangreiche Erfahrung der orthopädischen Klinik in der Schulterendoprothetik angewandt werden. Dazu werden die Art der Endoprothese und die Einsatzmöglichkeit individuell geplant und umgesetzt.
BILD 1
Bild 2
Bild 3
Bild 4
Bild 5
Bild 6
Unsere Experten
Unfallchirurgie
Leiter für Unfallchirurgie und Alterstraumatologie
Dr. med.
Waldemar Alt
Oberarzt
Anwar Zaqoul
Ltd. Oberarzt
Dr. med.
Matthias Göller



