Krallen-, Hammer-, Klauenzehen

Fehlstellungen der kleinen Zehen und Schwielenbildung sind besonders im geschlossenen Schuh schmerzhaft und werden durch ein häufig erworbenes Ungleichgewicht der Muskulatur hervorgerufen. Häufig treten sie im Rahmen eines Hallux valgus und eines Spreizfußes auf, können aber auch durch falsches Schuhwerk mitverursacht werden.

Diagnostik

Die Diagnose lässt sich aufgrund des dünnen Weichteilmantels hier besonders gut alleine schon durch die Untersuchung stellen. Neben der Prüfung der Beweglichkeit und der Analyse, welche Gelenke und Sehnen betroffen sind, wird in Zusammenschau mit bestehenden Nebenbefunden und Zuhilfenahme eines Röntgenbildes das Therapiekonzept erstellt.

Therapie

Bei mildem Befund kann die Veränderung des Schuhwerkes und der Einsatz von Polstern, Tape-Verbänden und ggf. Einlagen helfen. Hilft dies nicht ausreichend, so werden über einen kleinen Schnitt die verkürzten Sehnen sowie die Gelenkkapsel durchtrennt. 

 

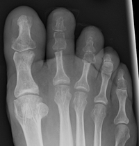
Krallenzehen vor der Operation

Der Knochen des Grundgliedes wird eingekürzt, so dass nach entsprechender Weichteilplastik die muskuläre Balance wiederhergestellt ist. Der Eingriff kann ohne Vollnarkose mit einem Fußblock durchgeführt werden.

 

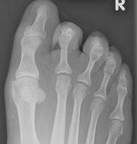
Krallenzehen nach der Operation

Nachbehandlung

Je nach Ausdehnung des Befundes ist gelegentlich eine Fixierung der Zehe mittels Draht für 2-4 Wochen nötig; in dieser Zeit ist das Tragen eines Vorfußentlastungsschuhes sinnvoll. Der Draht kann danach problemlos und schmerzfrei entfernt werden. Nach Vollständiger Abheilung kann eine sportliche Aktivität wieder voll aufgenommen werden.

Unsere Experten

Knie & Fuß

Oberarzt  Daniel Staender
Oberarzt

Daniel Staender